Whatsapp

Artrosis de Tobillo

Datos

  • Síntoma:   Rigidez y dolor en el tobillo

Abordajes

  • Tratamiento Médico
    Biológicos
    Artrodesis o fusión a cielo abierto
    Artrodesis artroscópica
    Prótesis

Artrosis de Tobillo

La artrosis severa de tobillo es una patología con la que nos toca enfrentarnos habitualmente. Puede ser primaria (producto del desgaste natural del cartílago) o secundaria, debido a la secuela de una fractura o enfermedades reumáticas.

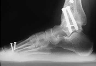
Artrodesis

Uno de los posibles tratamientos quirúrgicos siendo la artrodesis de tobillo. Consiste en la alineación de la deformidad, resección del cartílago y fijación del hueso con distintos tipos de osteosíntesis, lo que dejaba como resultado un tobillo no doloroso, pero rígido.

Con el tiempo, las articulaciones vecinas sufren un exceso de trabajo mecánico, y pueden desarrollar una artrosis, con las consecuencias que ello implica en pérdida de la movilidad o dolor.

Prótesis

En la actualidad, y con un recorrido de más de 25 años de pruebas, existen en el mercado las prótesis para reemplazo total del tobillo, que si bien no son el tratamiento de elección primario, tienen sus indicaciones, obviamente contraindicaciones y complicaciones, como toda técnica quirúrgica.

Prótesis:

.
.
.

Artrodesis

Se denomina atrodesis a la fijación de la articulación, mediante la resección del cartigalo enfermo y el contacto directo de un hueso con el otro. Generalmente se fija mediante una osteosíntesis con tornillos, placas o fijación externa.
Este es uno de los métodos de tratamiento de la artrosis severa de la articulación del tobillo, y juega con un rol muy importante, ya que nos permite a los cirujanos ortopedistas obtener un pie indoloro, plantigrado y estable.
Puede ser realizada en cualquier situación artrĂ³sica del tobillo, aunque esté asociada a desejes, inestabilidad ligamentaria y desequilibrios musculares.
La artrodesis de tobillo, como de cualquier otra articulaciones, somete una sobrecarga importante a las articualciones proximales y distales a ella, que a largo plazo, sufrirán un cuadro degenerativo articular, que deberá ser tratado en su momento.