Whatsapp

Cirugía Percutánea

Objetivo buscado

  • Pequeñas incisiones en la piel sin gran exposición ni trauma de tejido.

Características

  • Mínimamente Invasivo

Cirugía Percutánea

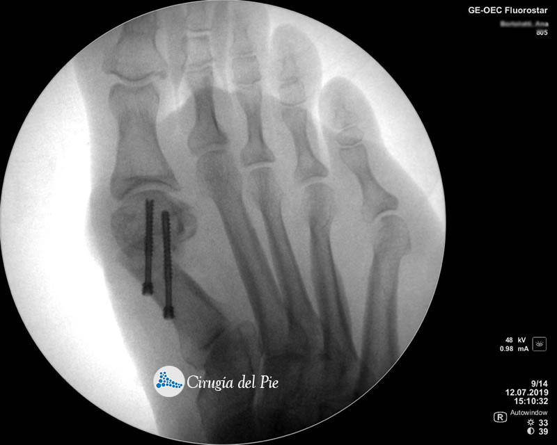
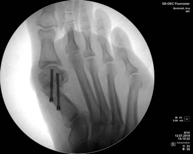
La cirugía Percutánea del pie, también conocida como cirugía MIS (Minimal Incision Surgery), permite realizar procedimientos quirúrgicos a través de pequeñas incisiones en la piel sin gran exposición ni trauma de tejidos.

Ventajas

De esta forma se disminuye el riesgo de complicaciones, como las lesiones de partes blandas, las infecciones y se obtienen menores tiempos operatorios, disminuyendo el dolor y acelerando la vuelta a la vida habitual.
Como la mayoría de los procedimientos en tobillo y pie, puede realizarse en forma ambulatoria ya que se utiliza anestesia regional.
Cirugia Percutanea Dr Masaragian
Cirugia Percutanea Dr Masaragian
Cirugia Percutanea Dr Masaragian