Whatsapp

Hallux Valgus

Datos

  • Síntoma:   Desviación del dedo gordo del pie y protuberancia que ocasiona incomodidad, dolor y dificultad para calzarse

Abordajes

  • Quirúgico

Juanetes

El hallux valgus es una desviación del dedo gordo del pie, hacia lateral, fuera de la línea media, acompañado generalmente de una protuberancia (exostosis) en la articulación metatarso-falángica, deformidad comúnmente llamada "juanete".
El juanete es una bursitis crónica en la cara interna del extremo distal del primer metatarsiano. Con el tiempo y la falta de tratamiento, van ocurriendo cambios en la estructura ósea afectada.
Generalmente es mucho más frecuente en el sexo femenino y usualmente existen antecedentes familiares con igual alteración, pudiendo ser infantil, juvenil o del adulto. Con frecuencia es causa de otras patologías de los dedos pequeños, como los dedos en martillo, en garra, supraducto, o lesiones de la piel, como ulceras o callos, más aún si se asocia con el uso frecuente de calzado angosto y de taco alto.

Cómo se presenta:

El paciente presenta una deformidad ósea, que altera la estructura del calzado y con el tiempo éste adopta la posición de la deformidad. El enfermo se queja de dolor, debido a la presión y fricción ocasionada por el calzado y por la pérdida de la alineación del dedo con respecto al resto del pie. La deformidad ósea (también llamada juanete), produce inflamación de las partes blandas y en ocasiones se pueden presentar procesos infecciosos o ulcerarce.

Tratamiento

El tratamiento inicial es preventivo; el adolescente en sus inicios no se queja de dolor, por lo que el diagnóstico es un hallazgo del médico. El motivo de consulta puede ser solamente la deformidad. Es importante precisar si otros familiares sufren de la misma alteración, ya que en ocasiones puede asociarse con patologías de tipo reumáticas.
Recomendamos utilizar calzado amplio, de horma ancha y punta redonda, que no produzca presión sobre el dedo. Cuando la deformidad está instalada, el tratamiento de elección es la corrección quirúrgica, dado que se trata de una patología progresiva que a largo plazo produce otras enfermedades del antepie.

Variantes:

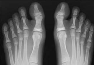
Hallux Valgus clásico: notese la deformidad que produce el tendón aductor.
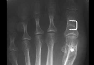
Desplazamiento clásico obtenido con la oesteotomía en chevron.
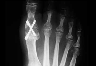
Osteosíntesis de la osteotomía con tornillo.
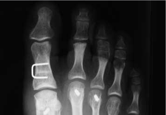
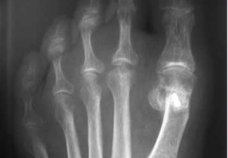
Hallux Valgus Falangico. La desviación se encuentra en el dedo y no en la articulación.
Observese la rotación que dificulta el calzado.
Dedo torcido. Imagen radiográfica con deformidad en la primera falange.
Combinación de Hallux Valgus clásico y falángico.
Tratamiento del Hallux Valgus combinado con metatarsalgia central.
Tratamiento de rescate del Hallux Valgus artrósico o secuelar mediante fijación o artrodesis.