Whatsapp

Neuroma de Morton

Síntomas:

  • ⋅ Dolor que se exacerba con la actividad
  • ⋅ Se irradia a los dedos como electricidad o sensación de quemazón
  • ⋅ Alivia al descalzarse
  • ⋅ Aumento del dolor a la compresión lateral del antepié
  • ⋅ Raramente es bilateral (10-15% de los casos)

Neuroma de Morton

Es una neuropatía mecánica por atrapamiento del nervio, que produce cambios degenerativos, debido a la existencia de fuerzas de tracción y compresión, que se producen entre los huesos metatarsianos. Generalmente afecta el tercer o segundo espacio interdigital. (en una relación 3:1)

Diagnóstico

Los estudios complementarios ayudan al diagnóstico, como la ecografía y/o RMN, pero no definen la conducta, que en general depende de los hallazgos clínicos que presente el paciente y que deberán ser evaluados por el médico tratante, como así también los diagnósticos diferenciales.

Tratamiento

Existen diversos tipos de tratamiento, que de no dar buenos resultados, llevan a la posibilidad de una cirugía. Cada paciente deberá ser evaluado en particular.

Presentación clínica:

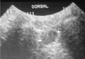
Diagnóstico de neuroma de Morton por ecografía dinámica.
Resonancia magnética donde se evidencia el neuroma en el 3er. espacio intermetatarsiano.
Pieza de neurectomía interdigital.

Abordaje quirúrgico mínimamente invasivo:

Interdigital.