Whatsapp

Tendinitis Aquileana

Datos

  • Síntoma:   Inflamación y dolor sobre el tendón aquileano.

Abordajes

  • Tratamiento médico combinado
    Ondas de choque
    MEPS
    Quirúgico percutáneo
    Cirugía Minimamente Invasiva Artroscópica
    Tratamiento quirúrgico a cielo abierto

Tendinitis Aquileana

Es un proceso inflamatorio sobre el tendón aquileano, en general entre 2 y 6 cm. de su inserción en el talón. Habitualmente se observa en pacientes con un alto requerimiento físico como ser corredores, saltadores, o en aquellos que realizan un entrenamiento intenso. Hay factores predisponentes. Algunos de ellos son los tratamientos prolongados con corticoides, antibióticos como las fluoroquinolonas, algunas enfermedades metabólicas como gota, dislipemias entre otros.

Tendinitis:

Es la inflamación limitada al tendón sin lesión interna de su estructura.

Tendinosis:

Es la degeneración estructural del tendón. Clínicamente se manifiesta con dolor sobre el tendón, con limitación o no a la dorsiflexión, crepitación y edema tipo fusiforme. A pesar que su diagnóstico es fundamentalmente clínico, los estudios complementarios pueden aportar información con respecto a la estructura tendinosa como calcificaciones evidenciables en una radiografía o en una ecografía, engrosamientos y patrones de diferentes intensidades a nivel de la RMN

Tratamiento

El tratamiento conservador es similar al de las tendinitis insercionales. En caso de persistir la sintomatología luego de un correcto tratamiento conservador, se planifica, según estadio de la lesión, un tratamiento quirúrgico, que puede ir desde cirugías mínimamente invasivas hasta otras a cielo abierto con debridamiento tendinoso, reparación primaria y/o transferencias tendinosas, de acuerdo a la gravedad y tiempo de evolución de la lesión.

Tendinitis no insercional:

Peritendinitis del aquiles. Observese la inflamación en la cara posterior.
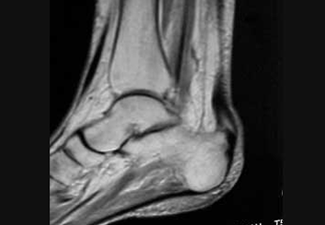
Notese ensanchamiento del tendón de aquiles.
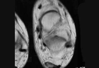
Resonancia magnética nuclear donde se observa el engrosamiento del tendón de aquiles.
Técnica percutánea y posoperatorio.
Posoperatorio inmediato de técnica percutánea.
Posoperatorio alejando de técnica percutánea.
Patología insersional del tendón de aquiles.
Solución quirúrgica a cielo abierto.
Calcificaciones intratendinosas del aquiles.